Acromioclavicular (AC)
Joint Injury
Acromioclavicular (AC) Joint Injury
The acromioclavicular joint, or AC joint, is where the end of the clavicle (collarbone) meets the top of the scapula (shoulder blade), at a curved piece of bone called the acromion.
The AC joint is surrounded by a thick joint capsule and AC ligaments, and is also stabilized by the coracoclavicular (CC) ligaments as well. When these soft tissue structures are injured, typically through sports injuries or trauma, then an AC joint injury (also known as a separated shoulder) may occur.
Symptoms of an AC Joint Injury
AC joint injuries, or shoulder separations, can vary in severity depending on which ligament(s) are injured. Low-grade injuries typically involve ligament sprains only, and not ligament ruptures. Another variant of a low-grade shoulder separation is if the AC ligaments are torn, but the CC ligaments are still intact. With the CC ligaments intact, the AC joint will remain in proper alignment. High-grade injuries typically involve ruptures of both the AC and CC ligaments. In these high-grade injuries, the AC joint becomes destabilized, and the pull of the surrounding muscles typically results in deformity at the AC joint.
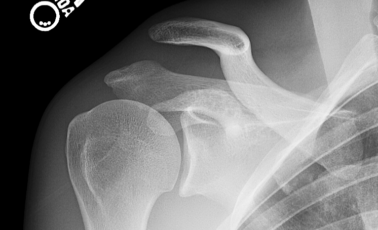
High-grade AC joint injury (shoulder separation). Note the superior displacement of the clavicle relative to the acromion, indicating that both the AC and CC ligaments are ruptured.
In terms of symptoms, patients typically experience pain at the AC joint, and a visible deformity in high-grade cases. There may be a sensation of instability as well, particularly with activities that involve load on the shoulder. It is also common to have pain at night with sleep, especially when sleeping on the affected shoulder.
Non-Surgical Treatment of AC Joint Injury
We recommend beginning with non-surgical treatment for low-grade AC joint injuries. This typically involves an initial period of immobilization to allow for soft tissue healing. Once enough healing has occurred, patients then begin physical therapy to help regain range of motion, strength, and function.
Surgical Treatment of AC Joint Injury
In high-grade AC joint injuries or low-grade injuries that continue to be symptomatic despite non-surgical treatment, surgery to stabilize the AC joint may be considered. In my practice, this is typically performed in a minimally-invasive, arthroscopic-assisted fashion to repair the CC ligaments. Depending on the severity and chronicity of the injury, a tendon graft may also be used to reconstruct the CC ligaments and augment the repair.
X-rays of high-grade AC joint injury (shoulder separation) before and after surgical repair.
Recovery After AC Joint Surgery
For a comprehensive reading of the expected post-operative recovery, including restrictions, physical therapy progressions, and return to work/sport guidelines after AC joint repair/reconstruction surgery, please see our corresponding protocol on our physical therapy protocols page.
About the Author
Dr. Jonathan Koscso is an orthopedic surgeon and sports medicine specialist at Kennedy-White Orthopaedic Center in Sarasota, FL. Dr. Koscso treats a vast spectrum of sports conditions, including shoulder, elbow, knee, and ankle disorders. Dr. Koscso was educated at the University of South Florida and the USF Morsani College of Medicine, followed by orthopedic surgery residency at Washington University in St. Louis/Barnes-Jewish Hospital and sports medicine & shoulder surgery fellowship at the Hospital for Special Surgery in New York City, the consistent #1 orthopaedic hospital as ranked by U.S. News & World Report. He has been a team physician for the New York Mets, Iona College Athletics, and NYC’s PSAL.
Disclaimer: All materials presented on this website are the opinions of Dr. Jonathan Koscso and any guest writers, and should not be construed as medical advice. Each patient’s specific condition is different, and a comprehensive medical assessment requires a full medical history, physical exam, and review of diagnostic imaging. If you would like to seek the opinion of Dr. Jonathan Koscso for your specific case, we recommend contacting our office to make an appointment.

